Smile Gallery
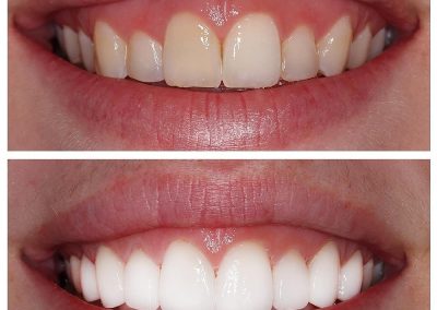
If You Have a Gummy Smile, Dental Veneers and Crown Lengthening Can Help
About 14% of women and 7% of men hesitate to fully smile or laugh heartily because they know that when they do, they will show an unusual amount of gum compared with the average person.
Common Mistakes When Non-Experts Place Veneers
Anyone can claim to be a cosmetic dentist, but few practices have the knowledge, experience, and judgment to do a smile makeover that matches your face , personality, taste, and lifestyle.
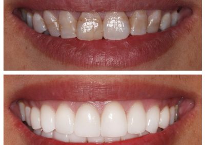
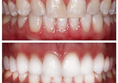
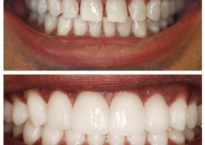
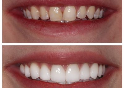
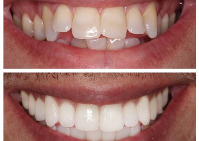
Wilshire Smile Studio Works With a Top Dental Lab to Craft Celebrity-Level Veneers
You probably know that many celebrities have been open about how they upgraded their smiles to get ready for their close-ups by having dental veneers attached to the fronts of any teeth that are flawed.
SCHEDULE A CONSULTATION
SCHEDULE A CONSULTATION
6200 Wilshire Blvd, #1609
Los Angeles, CA 90048
(323) 922-5874
Mon - Fri: 8am - 6pm
Sat - Sun: Closed
© 2025 Veneers Specialist Los Angeles. All Rights Reserved. | Privacy Policy | Sitemap | HIPAA Policy